Heart disease is the leading cause of mortality in the US and accounts for one in five deaths. What’s more, it is My dear that more than 45% of the US population will have some form of heart disease by 2035, resulting in total costs exceeding $1 trillion. Heart disease is largely preventable, but many people don’t understand its risks until it is too late.
Screening for heart disease is an important step that can detect heart problems early, identifying patients who require further evaluation or potential treatment. While many screening tools rely on measuring factors in the blood (such as cholesterol and triglyceride levels), computed tomography (CT) scans can provide a wealth of real-time information about heart function. However, quantitative and in-depth imaging of the heart typically requires specialized equipment and dyes, and therefore cardiac CT is expensive and potentially underutilized.
However, routine chest CT scans are performed quite frequently when patients present with certain symptoms. These standard scans are ordered for a variety of reasons, such as suspected lung infection or cancer. Could these existing scans be used as a screening tool for heart disease?
A collaborative team at Cedars-Sinai Medical Center in Los Angeles is using artificial intelligence (AI) to mine common chest CT scans to predict mortality. Their research identified a collection of cardiac factors that predicted death in a large group of patients, potentially laying the groundwork for improving cardiac screening. He recommendations were recently reported in Nature communications.
“The AI process described here represents an efficient and cost-effective method to potentially identify patients at high risk for heart disease who undergo routine CT scans for some other purpose,” said Qi Duan, Ph.D., program director in NIBIB’s Health Informatics Technologies Division. “This creative approach highlights the power of machine learning to derive meaningful insights from routine medical images, paving the way for improved and timely healthcare.”
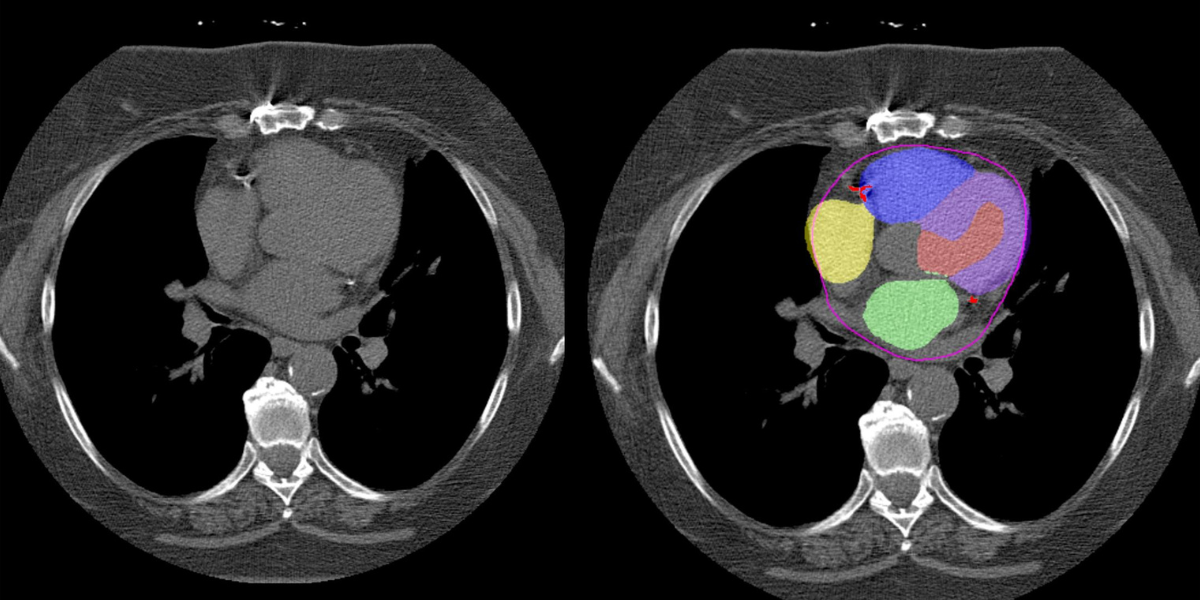
Calculate the characteristics of calcium and the cardiac chamber.
How can heart imaging help predict heart risk? An established method is to quantify the amount of calcium that is present in arterial plaque.
As we age, plaque can begin to build up inside the arteries of the heart. Once plaque builds up, it begins to calcify. This calcium hardens plaque and hardens the walls of the arteries, making it difficult for blood to flow. As such, the amount of calcium in the coronary arteries (called CAC) is strongly correlated with cardiovascular risk.
To calculate CAC, a doctor will typically order a “gated” CT scan, which uses the signal from a electrocardiogram to capture images of the heart in a specific cardiac phase. This type of advanced scan is more expensive than a traditional chest CT scan and may not be covered by health insurance.
Beyond the CAC, the shape and size of the different chambers of the heart can also help predict heart disease. For example, having an enlarged left atrium. has been shown be a predictor of heart failure. But estimating myocardial mass and the volume of each chamber of the heart typically requires the use of a contrast agent, which is not used in all routine chest CT scans.
This is where AI has the potential to be beneficial and integrate as a screening tool. Using images from thousands of different patients, AI can begin to automatically determine prognostic features from routine chest CT scans—features that the original scan was not designed to detect. These characteristics can be combined and analyzed to generate a prediction of heart-related mortality.
“There is a lot of important information hidden in chest CT scans,” explained the study’s senior author, Piotr Slomka, Ph.D., a professor at Cedars-Sinai. “By using AI to discover and analyze key prognostic signals in these scans, we could perform opportunistic cardiac screening and potentially drive treatments or lifestyle changes, which could ultimately save lives.”
Three cohorts, two algorithms, one improved prediction
The researchers combined two previously validated algorithms:one developed by Slomka and colleagues that measures CAC, and other that can segment cardiac chamber volumes, to analyze routine chest CT scans (i.e., low-dose scans without contrast and gating). They evaluated scans from 24,354 patients who underwent CT as part of the National Lung Screening Trial and identified several cardiac factors that were associated with an increased risk of death, such as a large number of CACs and increased mass or volume of specific cardiac chambers. What’s more, the researchers found that the combination of all factors (including clinical data such as age and medical history) was a better predictor of death than any factor alone.
“While these scans were originally used as a lung cancer screening tool, we were able to reanalyze them with our AI pipeline to predict overall and heart-related mortality,” Slomka said. He also noted that the current clinical standard for determining cardiac risk is the identification of an abnormality by a radiologist. Their portfolio substantially improved risk classification compared to this clinical standard.
The researchers wanted to know if their method could be successfully applied to other types of chest CT scans. They then evaluated scans from 2,014 patients who received specialized CT to calculate CAC (which required activation) and from 3,319 patients who received low-dose non-gated attenuation CT scans (which are used to make nuclear medicine scans such as PET and SPECT more accurate). In both groups, they used AI to identify cardiac features that predicted death, and their models performed best when all imaging factors and clinical data were combined.
“In three separate cohorts, using different types of CT scans for discrete purposes, we could use our combinatorial AI platform to predict mortality,” Slomka said. “These results suggest that our platform could be successfully applied in a wide range of environments.”
Looking forward
Slomka noted that integrating this AI process into an existing clinical workflow should be simple; In fact, it is already incorporated at Cedars-Sinai, where doctors are evaluating its usefulness for research purposes. “Our AI platform is currently used to automatically evaluate routine CT scans for prognostic cardiac factors,” he said. “Radiologists analyzing cancer screening images are not trained to look for things like calcium in the arteries or enlarged heart chambers; having our method extract these images in the background can flag at-risk patients for follow-up scans and potentially treatment.”
A major limitation of this study is that race and ethnicity were not incorporated into the analyses. Additionally, more than 90% of patients evaluated in the National Lung Screening Trial (the largest cohort in this study) were white. Future work should require the inclusion of more diverse populations to ensure this AI channel can work equally for all people.
This work was supported in part by a grant from the NIBIB (R01EB034586) and a grant from the National Heart, Lung, and Blood Institute (NHLBI; R35HL161195).
Study reference: Miller, RJH, Killekar, A., Shanbhag, A. et al. Predicting mortality by mass IA cardiac volumes and coronary calcium on chest computed tomography. national commune 152747 (2024). https://doi.org/10.1038/s41467-024-46977-3
The graph seen above was taken from the post on Nature Communications and is licensed under the Creative Commons Attribution 4.0 International License.
Learn more about CT and AI by exploring NIBIB science topics!
